金沢市にある歯科医院「そらいろ歯科医院」では、地域の皆様の健やかな食生活を守るため、インプラント治療に特に力を入れています。
近年、インプラント治療の技術は飛躍的に進歩し、エビデンス(医学的根拠)に基づいた、非常に安全・安心な治療法として確立されています。しかし、外科手術を伴う治療である以上、「痛いのではないか」「費用が心配」「本当に長持ちするのか」といった不安をお持ちの方も少なくありません。
金沢市にある歯科医院「そらいろ歯科医院」では、地域の皆様の健やかな食生活を守るため、インプラント治療に特に力を入れています。
近年、インプラント治療の技術は飛躍的に進歩し、エビデンス(医学的根拠)に基づいた、非常に安全・安心な治療法として確立されています。しかし、外科手術を伴う治療である以上、「痛いのではないか」「費用が心配」「本当に長持ちするのか」といった不安をお持ちの方も少なくありません。
当院では、そうした患者様の不安一つひとつに丁寧に向き合い、メリットだけでなくデメリットやリスクもしっかりとお伝えした上で、納得のいく治療を提供することを大切にしています。
このページでは、インプラント治療の基礎知識から、他の治療法との違い、費用の仕組み、そして術後のメンテナンスに至るまで、詳しく解説していきます。
「インプラント(Implant)」という言葉は、本来「植え付ける」という意味を持つ英語です。医療の世界では、心臓ペースメーカーや人工関節など、体内に埋め込む器具の総称として使われますが、歯科領域においては「人工歯根」のことを指します。
歯を失うということは、単に目に見える「白い歯」の部分が無くなるだけではありません。その歯を支えていた顎の骨の中にある「根っこ(歯根)」まで失ってしまうことを意味します。
インプラント治療は、この失われた歯根の代わりに、人体との親和性が極めて高い「チタン製」の人工歯根(インプラント体)を顎の骨に埋め込みます。そして、その上にセラミックなどで作られた人工の歯を装着することで、機能と見た目を回復させる治療法です。
インプラント体が骨と結合することを「オッセオインテグレーション(Osseointegration)」と呼びます。
チタンは金属アレルギーを起こしにくく、生体の骨組織と分子レベルで結合する性質を持っています。この性質を利用することで、まるで自分自身の体の一部のように顎の骨と一体化し、天然の歯と変わらない強度で噛むことが可能になるのです。
インプラント体が骨と結合することを「オッセオインテグレーション(Osseointegration)」と呼びます。
チタンは金属アレルギーを起こしにくく、生体の骨組織と分子レベルで結合する性質を持っています。この性質を利用することで、まるで自分自身の体の一部のように顎の骨と一体化し、天然の歯と変わらない強度で噛むことが可能になるのです。
「自分はインプラントができるのだろうか?」
インプラント治療は、1本の歯を失った場合から、
すべての歯を失ってしまった場合まで、
幅広い症例に対応可能です。
特に以下のようなお悩みをお持ちの方に
強くおすすめします。
インプラントは外科手術を伴うため、お体の健康状態によっては、治療が制限される場合や、より慎重な管理が必要となる場合があります。以下の疾患をお持ちの方は、必ず事前にご相談ください。

歯を失った際の選択肢は主に3つあります。
それぞれの特徴を理解し、ご自身のライフスタイルに合った治療を選ぶことが大切です。

取り外し式の装置です。
【メリット】
保険適用であれば安価。手術の必要がない。
【デメリット】
噛む力は天然歯の20〜30%程度しか出ないと言われています。装着時の違和感が大きく、食べ物の味や温度を感じにくくなることがあります。また、固定するためのバネをかける健康な歯に負担がかかり、その歯の寿命を縮めるリスクがあります。

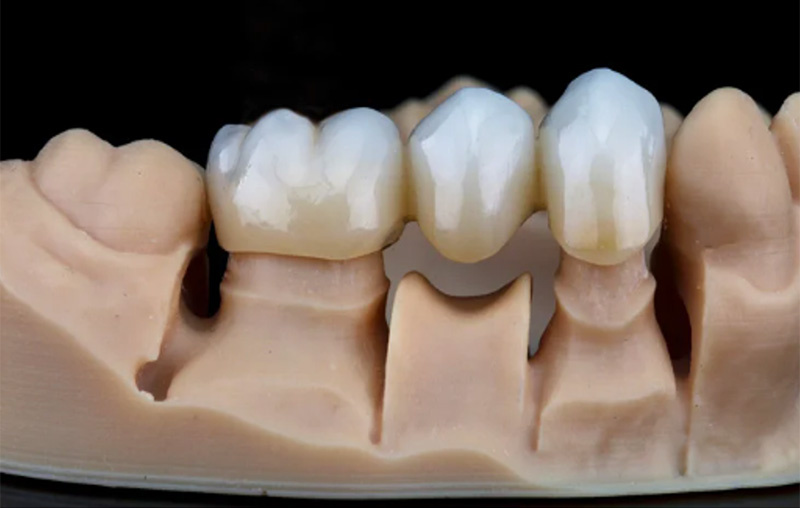
失った歯の両隣の歯を削り、橋を架けるように連結した被せ物を装着します。
【メリット】
固定式なので違和感が少なく、保険適用も可能。
【デメリット】
最大の欠点は「健康な歯を削らなければならない」ことです。エナメル質を削られた歯は虫歯や破折のリスクが高まります。また、失った歯が負担していた噛む力を支える歯が負担するため、過重負担となり、将来的に支えている歯も失う「ドミノ倒し」のような連鎖が起きることがあります。

【メリット】
天然歯と同等の噛む力を回復できます。独立した歯として機能するため、周囲の歯を削ったり、負担をかけたりすることが一切ありません。
【デメリット】
保険適用外(自費診療)のため費用が高額。外科手術が必要。治療期間が長い。
「残っている他の健康な歯をこれ以上失いたくない」
「食生活の質を落としたくない」
とお考えであれば、インプラント治療が最も合理的かつ長期的なメリットが大きい選択肢と言えます。
治療後の「こんなはずじゃなかった」を防ぐため、
メリットだけでなく、あえてデメリットについても包み隠さずお伝えします。
インプラント治療は、患者様のお口の状態(骨の量、歯茎の状態)や使用する材料によって費用が変動します。当院では、「インプラント体埋入費用」「アバットメント費用」「上部構造(被せ物)費用」「手術管理費」などを明確に提示し、治療開始前に総額のお見積もりを作成いたします。
途中で不明瞭な追加料金が発生することはありませんのでご安心ください。
インプラント治療は高額ですが、国の制度である「医療費控除」の対象となります。
ご自身や生計を共にするご家族のために支払った医療費の合計が、年間(1月1日〜12月31日)で10万円を超えた場合、確定申告を行うことで、所得税の一部が還付され、翌年の住民税が減額されます。所得額によって戻ってくる金額は異なりますが、実質的な治療費の負担をかなり抑えることが可能です。
領収書は大切に保管し、詳しい計算方法は税務署や国税庁のサイトでご確認ください。また、デンタルローンなどの分割払いをご利用の場合も控除の対象となります。
| 診断料 | ¥55,000 |
|---|---|
| 手術管理料 | ¥88,000 |
| インプラント本体 | ¥220,000 |
| 上部構造 | ¥220,000 |
| オプション 骨をつくる処置 ・歯肉をつくる処置 | ¥55,000〜 |
総額:¥583,000円〜
そらいろ歯科医院での標準的な治療プロセスをご紹介します。
安全第一に進めるため、いくつかのステップを踏んでいきます。
STEP 1
詳細なカウンセリング・検査
まずは、患者様のお悩みやご希望をじっくり伺います。その後、CT撮影(三次元レントゲン)、口腔内写真撮影、歯周病検査、模型作成のための型取りなど、精密検査を行います。特にCTは必須です。
顎の骨の厚み、高さ、神経や血管の位置を正確に把握しなければ、安全な手術は行えません。
STEP 2
治療計画の立案とご説明
検査結果に基づき、歯科医師が治療計画を立案します。
「どの位置に、どのサイズのインプラントを何本埋入するか」「期間と費用はどのくらいか」を詳細にご説明します。ここで疑問点があれば遠慮なくご質問ください。
ご納得いただき、同意書にサインを頂いてから治療スタートとなります。

STEP 3
インプラント埋入手術(一次手術)
局所麻酔を行い、インプラント体を顎の骨に埋め込みます。手術時間は本数によりますが、1本あたり30分〜1時間程度です。麻酔が効いているため、術中に痛みを感じることはほとんどありません。
手術法には**「1回法」と「2回法」**があります。
1回法: 手術を1回で済ませる方法。骨が十分にあり、初期固定が良い場合に適応します。インプラントの頭部分を歯茎から出した状態で治癒を待ちます。
2回法: 多くの症例で採用される、より安全性の高い方法です。インプラントを完全に歯茎の下に埋め込み、縫合します。細菌感染のリスクを最小限に抑えられます。
STEP 4
治癒期間(オッセオインテグレーション)
インプラントと骨が結合するのを待ちます。
下顎:約3ヶ月
上顎:約4〜6ヶ月 ※骨の状態によって期間は前後します。
この間は、仮歯を使用することも可能ですので、日常生活に大きな支障はありません。
STEP 5
二次手術(2回法の場合)
骨とインプラントが結合したことを確認した後、歯茎を少し切開してインプラントの頭出しを行い、アバットメント(土台)を装着します。
STEP 6
型取り・上部構造の装着
歯茎の状態が落ち着いたら、最終的な人工歯の型取りを行います。
精密に製作されたセラミック等の人工歯を装着し、噛み合わせを調整して完成です。
STEP 7
メインテナンス(定期検診)
ここからが本当のお付き合いの始まりです。
インプラントの大敵は「インプラント周囲炎」です。これは歯周病と同じような症状で、進行すると支えている骨が溶け、せっかくのインプラントが抜け落ちてしまいます。
天然歯にはある「歯根膜」というバリア機能がインプラントにはないため、一度炎症が起きると進行が早いのが特徴です。3ヶ月〜半年に一度は来院いただき、プロによるクリーニング(PMTC)と噛み合わせのチェックを受けてください。
