
症例集Case
インプラント症例
57歳女性
治療前
治療後
| 施術名 | インプラント治療 |
|---|---|
| 施術の説明 | インプラント治療とは、歯を抜いた所にチタン製の人工歯根を埋入し、新しく歯を入れる方法です。 |
| 施術の副作用 (リスク) | 腫れや疼痛を感じる、違和感を感じるなどの症状を生じることがあります。 |
| 施術の価格 | 53万円~+消費税 |
46歳女性
治療前
治療後
| 施術名 | インプラント治療 |
|---|---|
| 施術の説明 | インプラント治療とは、歯を抜いた所にチタン製の人工歯根を埋入し、新しく歯を入れる方法です。 |
| 施術の副作用 (リスク) | 腫れや疼痛を感じる、違和感を感じるなどの症状を生じることがあります。 |
| 施術の価格 | 53万円~+消費税 |
補綴症例
全顎症例
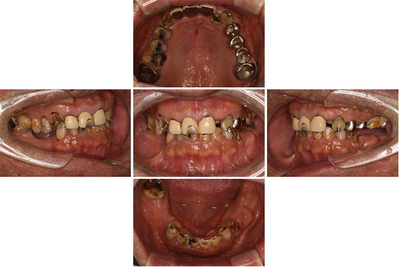
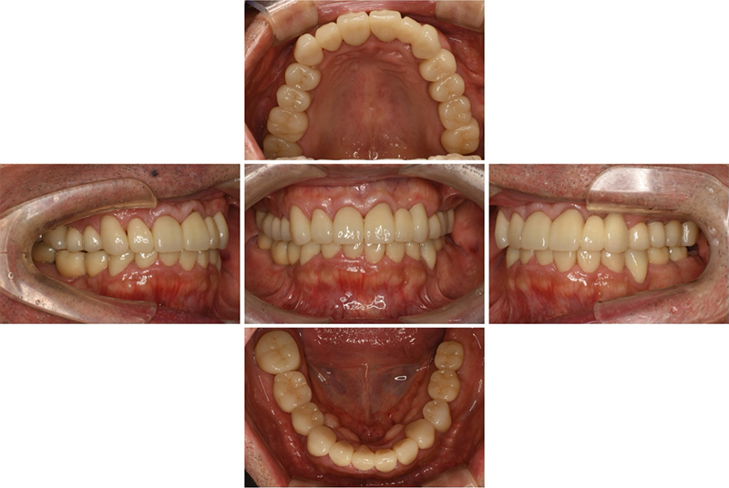
57歳男性
治療前
治療後
| 施術名 | インプラント治療 |
|---|---|
| 施術の説明 | インプラント治療とは、歯を抜いた所にチタン製の人工歯根を埋入し、新しく歯を入れる方法です。 |
| 施術の副作用 (リスク) | 腫れや疼痛を感じる、違和感を感じるなどの症状を生じることがあります。 |
| 施術の価格 | 53万円~+消費税 |
71歳女性
治療前
治療後
| 施術名 | インプラント治療 インプラントオーバーデンチャー治療 |
|---|---|
| 施術の説明 | インプラント治療とは、歯を抜いた所にチタン製の人工歯根を埋入し、新しく歯を入れる方法です。上顎は、入れ歯の支えとしてインプラントを使用しています。 |
| 施術の副作用 (リスク) | 腫れや疼痛を感じる、違和感を感じるなどの症状を生じることがあります。 |
| 施術の価格 | 120万円~+消費税 |
58歳女性
治療前
治療後
| 施術名 | インプラント治療 |
|---|---|
| 施術の説明 | インプラント治療とは、歯を抜いた所にチタン製の人工歯根を埋入し、新しく歯を入れる方法です。 |
| 施術の副作用 (リスク) | 腫れや疼痛を感じる、違和感を感じるなどの症状を生じることがあります。 |
| 施術の価格 | 53万円~+消費税 |











































